Google News

Cứu sống bệnh nhân đột quỵ cấp, xuất huyết não

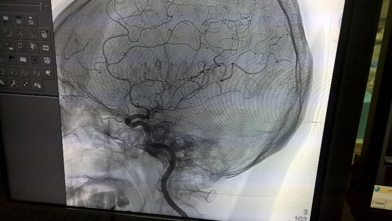
Chụp tổng quát mạch máu não (DSA) bằng kỹ thuật tiên tiến nhất hiện nay của thế giới.
Chụp tổng quát mạch máu não (DSA) bằng kỹ thuật tiên tiến nhất hiện nay của thế giới.
TPO - Một bệnh nhân bị chứng đột quỵ cấp tại TP.HCM vừa thoát khỏi “bàn tay thần chết” nhờ kỹ thuật DSA.

Ngày 6/5, Thạc sĩ-Bác sĩ Mai Tiến Dũng, Giám đốc Bệnh viện Quốc tế Phúc An Khang-TPHCM, cho biết, bệnh viện vừa kịp thời cứu sống bệnh nhân bị tai biến mạch máu não (đột quỵ). 

Theo thông tin ban đầu, đó là bệnh nhân Lê Hoàng Thi (38 tuổi), ngụ phường Bình Trưng Tây, quận 2, TPHCM). 

 Khi nhập viện, bệnh nhân được cấp cứu hồi sức tích cực, hạ huyết áp nhưng vẫn xuất hiện tình trạng chảy máu não, đe dọa phù não, nguy cơ tử vong cao nên được ê kíp bác sĩ tiến hành phẫu thuật sọ não giải áp.  

Bệnh nhân nhập viện trong tình trạng xuất huyết não do cao huyết áp, lơ mơ, mất tri giác, bị liệt bán thân… Khi nhập viện, bệnh nhân được cấp cứu hồi sức tích cực, hạ huyết áp nhưng vẫn xuất hiện tình trạng chảy máu não, đe dọa phù não, nguy cơ tử vong cao nên được ê kíp bác sĩ tiến hành phẫu thuật sọ não giải áp.  

Sau phẫu thuật, bệnh nhân tỉnh táo, hồi phục dần nhưng nguy được chẩn đoán có xu hướng phù não nên tiếp tục được can thiệp, chụp tổng quát mạch máu não (DSA) bằng kỹ thuật tiên tiến nhất hiện nay của thế giới. 

Hiện nay bệnh nhân đã dần bình phục, được chỉ định tiếp tục vật lý trị liệu để khắc phục hệ vận động.