“Đọc vị” ung thư sớm từ khi chưa có triệu chứng nhờ CT 2560 lát cắt
Đến BVĐK Hồng Ngọc tầm soát ung thư định kỳ, bệnh nhân M.T.T (53 tuổi, Hà Nội) được chỉ định chụp CT toàn thân với công nghệ CT 2560 lát cắt mới nhất hiện nay. Bất ngờ, kết quả chụp CT phát hiện bệnh nhân T có nhân xơ tử cung kích thước 5mm, nguy cơ ung thư hóa cao.
Đặc biệt, hình ảnh chụp CT phát hiện tuyến thượng thận trái bệnh nhân T có khối u kích thước 10mm, nghi ngờ mắc Adenoma tuyến thượng thận - bệnh lý hiếm gặp, là nguyên nhân chính của tình trạng cao huyết áp, suy tuyến thượng thận và bệnh addison.
Đáng nói, bệnh nhân T chỉ đi tầm soát định kỳ hằng năm, trước đó không có dấu hiệu mệt mỏi, đau bụng, chóng mặt, không có các triệu chứng như gầy sút cân, đi ngoài ra máu….
“Tôi không đau bụng, không đau lưng, ăn uống sinh hoạt bình thường, chủ yếu đau xương khớp thôi nên phát hiện ra u cũng bất ngờ. Nhưng mục đích mình đi khám tổng thể là để phát hiện bệnh sớm, giờ phát hiện sớm rồi thì yên tâm điều trị thôi.” - Bệnh nhân M.T.T cho biết.
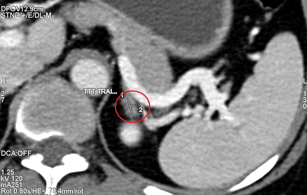
![]() |
| Hình ảnh chụp CT 2560 lát cắt phát hiện khối u tuyến thượng thận trái kích thước 10mm của bệnh nhân T |
“Bệnh nhân T là một ví dụ rất điển hình cho thấy kể cả khi cơ thể hoàn toàn khỏe mạnh thì chúng ta vẫn có nguy cơ mắc bệnh. Các bệnh lý, đặc biệt là ung thư, nếu biểu hiện thành triệu chứng như mệt mỏi, gầy sút cân bất thường..thì đã ở giai đoạn muộn, khiến việc điều trị phức tạp. Do đó, khám sức khỏe định kỳ là cách tốt nhất giúp phát hiện sớm và điều trị kịp thời bệnh lý tiềm ẩn.” - TS.BS Trịnh Tú Tâm - Trưởng khoa Chẩn đoán hình ảnh và Điện quang can thiệp, BVĐK Hồng Ngọc - Phúc Trường Minh cho biết.
Theo đó, TS.BS Trịnh Tú Tâm nhấn mạnh công nghệ chụp CT 2560 là bước tiến vượt bậc trong phát hiện sớm bệnh lý và tầm soát ung thư: “Sự ra đời của công nghệ chụp CT 2560 là bước đột phá mới, không chỉ giúp phát hiện sớm các bất thường siêu nhỏ từ 0,23mm mà còn giảm tới 96% tác động tia xạ, tối ưu cho người bệnh muốn kiểm tra, tầm soát sức khỏe tổng thể và cả những trường hợp phải chụp chiếu nhiều lần trong quá trình chẩn đoán và điều trị.”
![]() |
| Chụp CT 2560 lát cắt giúp bệnh nhân T phát hiện bệnh sớm từ khi chưa có triệu chứng |
Công nghệ CT 2560 lát cắt - Bước đột phá mới trong tầm soát ung thư tại Việt Nam
Không chỉ nổi bật ở khả năng phân biệt tổn thương siêu nhỏ từ 0.23mm,... công nghệ CT 2560 lát cắt còn sở hữu 3 ưu thế vượt trội bậc nhất siêu nét - siêu tốc - siêu an toàn, hỗ trợ bác sĩ phát hiện và chẩn đoán chính xác ung thư sớm.
“Hệ thống CT 2560 tích hợp rất nhiều công nghệ hiện đại và trí tuệ nhân tạo cao cấp, giúp giảm độ nhiễu của hình ảnh tốt nhất, cung cấp hình ảnh 3D chất lượng cao với độ sắc nét hoàn hảo, mang lại hiệu quả cao trong chẩn đoán.”- TS.BS Trịnh Tú Tâm nhận định.
Theo đó, đây là hệ thống chụp CT đầu tiên tại Việt Nam cho phép tái tạo tới 2560 lát cắt, khoảng cách giữa các lát cắt mỗi lát cắt chỉ còn cách nhau 0.0625 mm, giúp nâng tầm độ chi tiết hình ảnh 3D, giảm thiểu rủi ro bỏ sót tổn thương và nâng cao độ chính xác trong chẩn đoán.
![]() |
| Công nghệ CT 2560 lát cắt mang lại hiệu quả chẩn đoán chính xác cao |
Ngoài ra, nhờ ứng dụng trí tuệ nhân tạo (AI) cao cấp nhất kết hợp với thuật toán Deep Learning, hệ thống CT 2560 lát cắt còn tự động phân biệt biệt trên 25 loại vật chất khác nhau bao gồm các loại sỏi, khối u, khối xơ vữa,... phát hiện và định lượng chính xác các tổn thương siêu nhỏ, phân biệt rõ u lành tính, u ác tính và giai đoạn của khối u.
Bên cạnh đó, CT 2560 lát cắt là thiết bị có tốc độ chụp 0,23s/vòng nhanh nhất thế giới. Nổi bật với tốc độ thu hình vượt trội cùng trường quét rộng, CT 2560 lát cắt cho phép quan sát được nhiều vùng cơ thể chỉ trong 1 lần chụp, giúp rút ngắn thời chụp, giảm liều thuốc cản quang, đồng thời giảm tới 96% tác động tia xạ. Đây là giải pháp tối ưu cho các trường hợp chụp CT tầm soát sức khỏe, chụp CT toàn thân tầm soát ung thư….
“So với các thế hệ máy chụp CT đa dãy trước, hệ thống CT 2560 là một bước tiến vượt bậc. Thậm chí là một phim chụp cắt lớp ngực bây giờ với liều siêu thấp còn thấp hơn cả 1 phim chụp X-quang. Điều mà trước đây chúng ta, có thể nói là 1 giấc mơ mà bây giờ hoàn toàn có thể trở thành hiện thực với thế hệ máy này.” - TS.BS Trịnh Tú Tâm chia sẻ.
![]() |
| Chụp cắt lớp vi tính với công nghệ CT 2560 lát cắt giúp giảm tới 96% tác động tia xạ, an toàn tối đa cho người bệnh |
BVĐK Hồng Ngọc là đơn vị đầu tiên tại Việt Nam và Đông Nam Á ứng dụng công nghệ CT 2560 hiện đại hàng đầu thế giới vào tầm soát ung thư, mang lại giá trị chẩn đoán chuyên sâu trong tầm soát các bệnh ung thư nguy hiểm, đảm bảo phát hiện bệnh bệnh sớm, điều trị bệnh kịp thời và hiệu quả cho người bệnh.
Tầm soát ung thư tổng thể tại BVĐK Hồng Ngọc - BVĐK đầu tiên đạt Chứng nhận Chất lượng Bệnh viện Quốc tế ACHS:
- Thiết bị hiện đại: Công nghệ CT 2560 lát cắt AI cao cấp hàng đầu thế giới
- Bác sĩ ung bướu chuyên môn cao, trên 20 năm kinh nghiệm trực tiếp thăm khám và tư vấn 1:1
- Thủ tục khám nhanh gọn, không gian khám sang trọng, tiện ích
>> Liên hệ Hotline, nhận ưu đãi tới 30%: 093 223 2016



