![]() |
| Cục kẹo cao su mắc kẹt trong bụng |
Đứa trẻ này đã nuốt chửng khoảng 40 chiếc kẹo cao su và phải đến phòng cấp cứu vào ngày hôm sau với chứng chuột rút và tiêu chảy do đường tiêu hóa bị tắc nghẽn.
Các bác sĩ lâm sàng đã kiểm tra “bezoars”, còn được gọi là dị vật khó tiêu mà trẻ em có xu hướng nuốt phải.
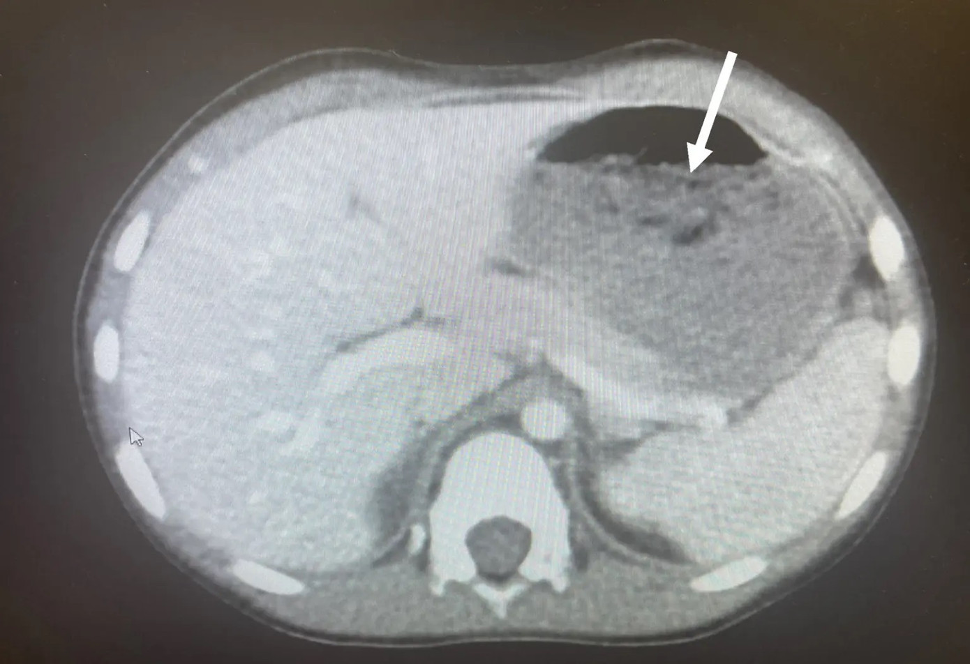
![]() |
| Khối kẹo cao su được nhìn thấy trên camera trong bụng cậu bé |
Nhóm chăm sóc sức khỏe, do Tiến sĩ Chizite Iheonunekwu của Phòng khám Cleveland đứng đầu, đã phát hiện ra chiếc bụng căng phồng của cậu bé khi chụp cắt lớp.
Các bác sĩ đã loại bỏ kẹo cao su bằng cách đặt một ống nội soi thực quản, xuống cổ họng của cậu bé và sử dụng kẹp để gắp phần tích tụ.
Theo báo cáo, bệnh nhân bị đau họng do nhiều lần nuốt chửng kẹo cao su và cuối cùng đã được xuất viện mà không để lại hậu quả lâu dài về sức khỏe.
Tiến sĩ Chizite Iheonunekwu cảnh báo: “Nếu bạn nuốt một miếng kẹo cao su, khoảng 40 giờ sau nó sẽ thải ra ngoài theo phân của bạn. Nếu nó không thể tiêu hóa được, nó sẽ gây tắc ruột và một số biến chứng khác. Tuy nhiên, việc nhai kẹo cao su không nên là một thói quen thường xuyên - nó có thể gây đau ruột vì không thể tiêu hóa được. Nếu bạn làm điều này hàng ngày hoặc nhiều lần trong ngày, nó có thể gây tắc nghẽn đường ruột. Bất cứ thứ gì bạn ăn sau đó sẽ không thể đi qua được, điều này gây ra sự tích tụ dẫn đến đau đớn và áp lực.”

