Google News

Hãi hùng sán lạ 'tung tăng' trong não suốt 4 năm

Hãi hùng sán lạ 'tung tăng' trong não suốt 4 năm
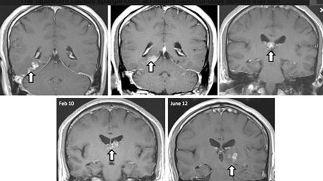
Con sán đã di chuyển 5cm từ bán cầu não phải sang bán cầu não trái của bệnh nhân, gây bệnh sparganum – tình trạng viêm ở mô có thể gây co giật, mất trí nhớ và đau đầu.

Các nhà khoa học Anh đang nghiên cứu một loại sán hiếm gặp đã sống trong não của một người đàn ông suốt 4 năm.

Con sán đã di chuyển 5cm từ bán cầu não phải sang bán cầunão trái của bệnh nhân, gây bệnh sparganum – tình trạng viêm ở mô có thể gây cogiật, mất trí nhớ và đau đầu.

Các bác sĩ đã lấy được con sán này ra khỏi người bệnh vàtình trạng của bệnh nhân hiện giờ “nhìn chung là tốt”. Đây là lần đầu tiên bệnhsán Spirometra erinaceieuropaei được báo cáo ở Anh. Mới chỉ có 300 ca bệnh loạinày được báo cáo trong y văn kể từ năm 1953.

Loại sán này thường bị nhiễm khi vô tình ăn phải động vậtgiáp xác nhiễm sán ở ao hồ, ăn thịt ếch nhái hoặc thịt bò sát sống, hoặc đắp ếchnhái sống lên mắt để chữa đau mắt.

“Chúng tôi không nghĩ là sẽ gặp loại bệnh truyền nhiễm này ởAnh, nhưng du lịch toàn cầu đồng nghĩa với việc đôi khi sẽ xuất hiện những loạiký sinh trùng lạ”, BS Effrossyni Gkrania-Klotsas, khoa bệnh truyền nhiễm tạiAddenbrooke's NHS Trust cho biết,

“Trước tiên nhóm nghiên cứu sẽ giải trình tựbộ gen của loại ký sinh trùng hiếm gặp này, để từ đó có thể tìm ra các thuốc điềutrị”.

Theo Cẩm Tú