Ngày 12/6, Bác sĩ CK2 Phạm Thanh Phong – Phó Giám đốc phụ trách chuyên môn Bệnh viện Đa khoa Trung ương Cần Thơ thông tin, các bác sĩ Khoa Ngoại Thần kinh vừa can thiệp nội mạch, kết hợp phẫu thuật thành công cứu sống bệnh nhân bị u não to bằng quả trứng.
Khoảng 3 tháng nay, chị Thái Thị Diễm Thúy (42 tuổi, ngụ phường Phước Thới, quận Ô Môn, TP Cần Thơ) bỗng nhiên bị đau đầu. Cơn đau bắt đầu từ trán lên đỉnh đầu, sau đó đau nửa đầu nhiều. Chị Thúy có đi mua thuốc uống nhưng không giảm.
Gần đây, mắt chị có dấu hiệu mờ dần nên đã đến bệnh viện địa phương khám. Xác định đây là trường hợp nặng, vượt khả năng chuyên môn nên các bác sĩ tại đây đã chuyển bệnh nhân đến Bệnh viện Đa khoa Trung ương Cần Thơ cấp cứu.
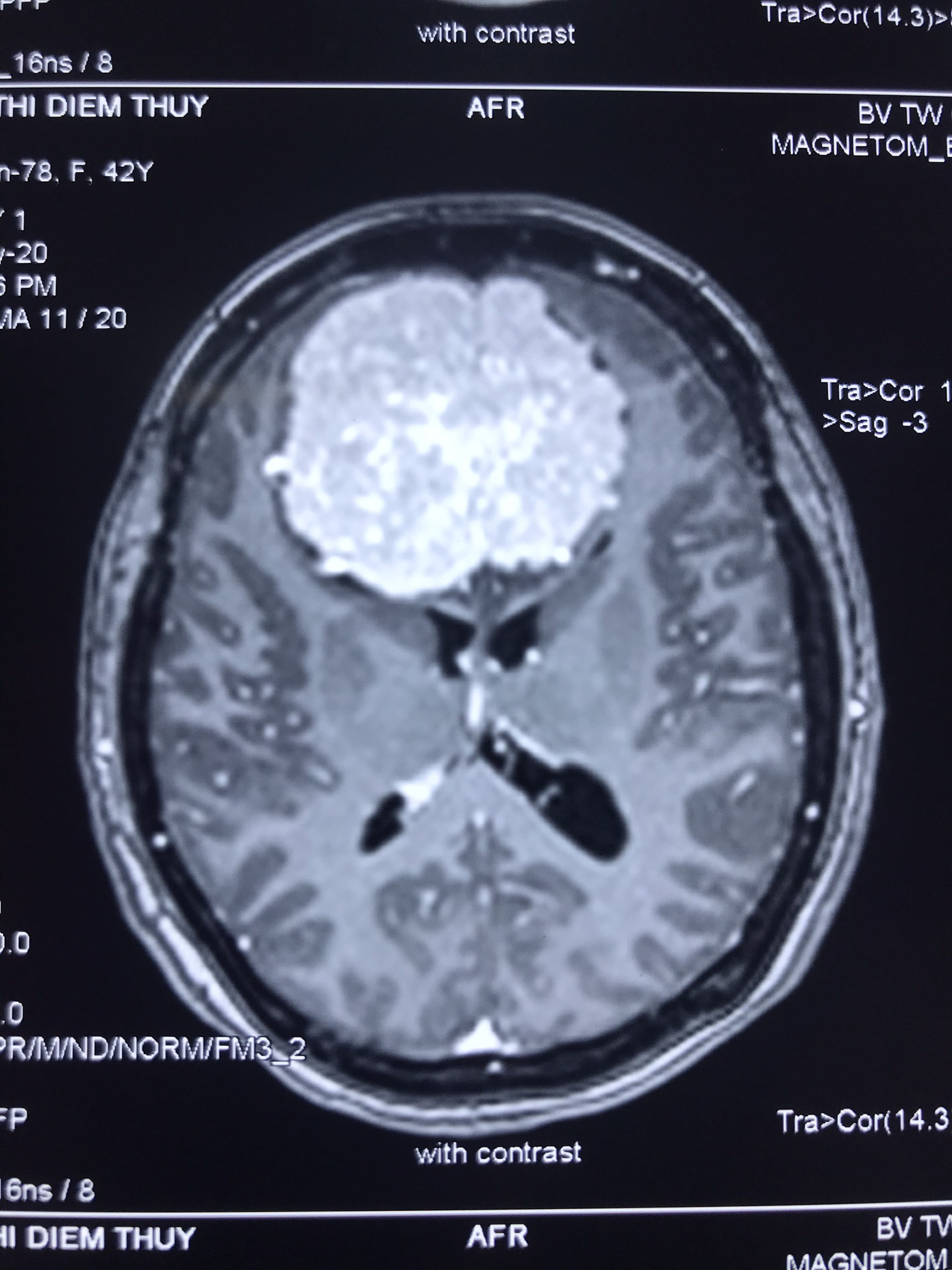
Hình ảnh khối u khổng lồ trong não của chị Thúy. Chị Thúy nhập viện trong tình trạng đau đầu nhiều, thị lực hai mắt giảm, nhìn đôi, phù gai thị, mất mùi hoàn toàn.
Sau khi tiếp nhận, các bác sĩ lập tức tiến hành khám lâm sàng bệnh nhân có triệu chứng thần kinh trung ương, phù gai thị và kết hợp thực hiện cận lâm sàng kiểm tra.
Kết quả chụp cộng hưởng từ có tiêm chất tương phản từ ghi nhận, khối choáng chỗ ngoài vùng trán có kích thước 6x6.5x5cm, ép não thất hai bên.
Kết luận, đây là u màng não khổng lồ. Sau khi hội chẩn, bệnh viện quyết định chụp và nút mạch tiền phẫu số xóa nền nhằm mục tiêu tắc mạch máu nuôi khối u, rồi tiến hành phẫu thuật vi phẫu bóc tách khối u màng mão rãnh khướu sàn sọ.
Mở sọ trán 2 bên, mở màng cứng ekip phát hiện não phù nhẹ. Vén thùy trán 2 bên, phẫu thuật viên thực hiện lấy khối u từng phần, u trắng hồng, mật độ dai nên yêu cầu phải thực hiện chính xác, tỉ mỉ.
Qua 6 giờ căng thẳng trên bàn mổ, khối u to bằng quả trứng đã được bóc tách ra khỏi màng sọ. Hiện tại, chị Thúy đã tỉnh, tiếp xúc được, không yếu liệt chi, mắt nhìn rõ, vết mổ khô, giảm đau đầu nhiều.
Chị Thúy đang hồi phục tốt sau ca phẫu thuật căng như dây đàn. Theo Bác sĩ CK2 Chương Chấn Phước – Trưởng Khoa Ngoại Thần kinh, u màng não chiếm tỷ lệ khoảng 34% các khối u nguyên phát ở não, thường xảy ra ở lứa tuổi từ 30 - 70. Ở nữ, tỉ lệ u màng não cột sống xảy ra gấp 10 lần so với nam. Tuy nhiên, u màng não ác tính lại xảy ra ở nam giới cao hơn nữ giới gấp 3 lần.
U màng não chủ yếu là các khối u lành tính. Tuy nhiên với các khối u màng não kích thước lớn, người bệnh cần được phẫu thuật lấy u càng sớm càng tốt vì nếu khối u phát triển ngày càng lớn sẽ gây chèn ép. Tùy vào vị trí u mà gây nên các triệu chứng lâm sàng như: Đau đầu, buồn nôn và nôn; mờ mắt, yếu hay liệt nửa người, co giật, rối loạn cảm giác và nặng hơn có thể khiến suy giảm ý thức, hôn mê, thậm chí tử vong.





