![]() |
| Cô bé 6 tuổi đã trải qua cuộc phẫu thuật vào tháng trước với các vết khâu vẫn còn trên đầu cô gái.(Ảnh:Facebook) |
Brianna Bodley đã từng phải đối mặt với những cơn co giật hàng ngày do viêm não Rasmussen - một chứng viêm não mãn tính có thể dẫn đến tổn thương não vĩnh viễn và suy giảm kỹ năng vận động, nhưng một cuộc phẫu thuật kéo dài 10 giờ có thể giúp bé đối phó với căn bệnh hiếm gặp này.
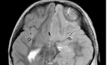
Thay vì loại bỏ một phần não của cô bé như các bác sĩ từng làm, bác sĩ giải phẫu thần kinh nhi khoa, Tiến sĩ Aaron Robison, thuộc Đại học Y tế Loma Linda, cho biết việc tắt một nửa bộ não của cô bé là phương pháp hiệu quả nhất.
Ông cho biết: “Chỉ cần ngắt kết nối là có thể ngăn chặn căn bệnh này một cách hoàn toàn và có khả năng chữa khỏi bệnh”.
![]() |
| Brianna Bodley được chẩn đoán mắc bệnh não hiếm gặp và chơi đùa sau ca phẫu thuật. (Ảnh:Facebook) |
Brianna được chẩn đoán mắc căn bệnh suy nhược vào năm ngoái, khiến cô gái vốn thường xuyên hát, nhảy và đọc sách phải đau khổ hàng ngày. Mẹ của cô bé, cho biết: “Chân của cháu luôn bị cong và gặp khó khăn khi đi lại”.
Khi bắt đầu dùng thuốc chống động kinh và steroid, cô bé tăng cân nhanh chóng và tiếp tục phải đối mặt với căn bệnh đang tiến triển.
Các bác sĩ đã quyết định tắt phần não không hoạt động của cô bé bằng cách can thiệp qua lỗ mở tự nhiên của não được gọi là khe nứt sylvian. Phía bên trái vẫn hoạt động và hiện đang đảm nhận các nhiệm vụ mà phía bên phải từng đảm nhiệm. Các bác sĩ cho biết, cô bé có thể mất một số thị lực ngoại vi và một số kỹ năng vận động tinh ở tay trái, nhưng vật lý trị liệu sẽ giúp bé trở lại là một đứa trẻ 6 tuổi như bình thường.
Bà ngoại của cô bé cho biết, cháu đã tỉnh táo ngay ngày đầu tiên sau cuộc phẫu thuật. Brianna dự kiến sẽ sớm hồi phục hoàn toàn.

