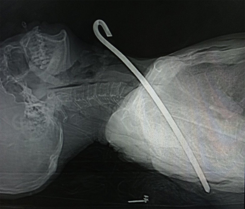
Trước đó, ngày 26/2, ông V.C.Đ. (67 tuổi, trú ở xã Kỳ Tiến, huyện Kỳ Anh) trong lúc dắt bò ngoài đồng về nhà đã không may vấp ngã, bị thanh sắt đâm trúng. Ông Đ. sau đó được đưa vào Bệnh viện Đa khoa Hà Tĩnh nhập viện trong tình trạng bị thanh sắt đường kính 0,8 cm, dài 30 cm đâm xuyên cổ qua phổi phải và trung thất xuống vùng ngực.
Qua thăm khám, bác sĩ chẩn đoán ông Đ. bị tổn thương rách thùy trên phổi phải, tràn khí màng phổi trái, tràn khí dưới da thành ngực và vùng cổ. Ngoài ra bệnh nhân còn bị gãy cung sau xương sườn số 5, 6 bên trái, gãy xương bả vai trái…
![]() |
| Hình ảnh dị vật đâm xuyên cổ ông Đ. Ảnh: Bệnh viện Đa khoa Hà Tĩnh |
Tiếp nhận bệnh nhân, các bác sĩ đã hội chẩn và chuyển mổ cấp cứu, phẫu thuật mở ngực khâu phục hồi phổi trái, khâu cầm máu động mạch liên sườn, khâu vết thương trung thất trên, lấy dị vật.
Sau hơn 10 ngày nhập viện cấp cứu, sức khỏe bệnh nhân đã ổn định. Dự kiến trong vài ngày tới ông Đ. sẽ xuất viện.
