Google News

Người đàn ông 'thất lạc' 1/4 bộ não khiến bác sĩ bối rối

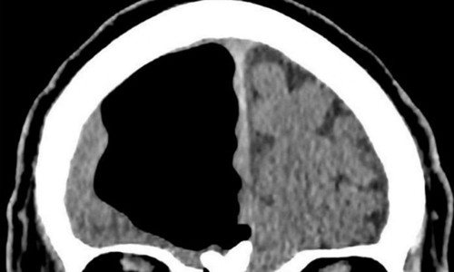
Hình ảnh chụp CT não của cụ ông cho thấy có lỗ hổng trống không. Ảnh: BMJ.
Hình ảnh chụp CT não của cụ ông cho thấy có lỗ hổng trống không. Ảnh: BMJ.
Kết quả chụp chiếu cho thấy thùy não trái của một cụ ông 84 tuổi (Bắc Ireland) bỗng nhiên biến mất, gây bàng hoàng cho các bác sĩ.

Gần đây cụ ông 84 tuổi cảm thấy sức khỏe không ổn định. Ông liên tục bị ngã, tay và chân trái có vẻ yếu đi. 

Ông cụ có một lối sống khá lành mạnh. Ông không hút thuốc, hiếm khi uống rượu, kết quả xét nghiệm máu không cho thấy điều gì bất thường. "Không có sự nhầm lẫn, suy nhược trên khuôn mặt hoặc rối loạn ngôn ngữ. Bề ngoài ông cũng rất cân đối và khỏe mạnh, ông cho biết tập thể dục điều độ, sống cùng vợ và hai con trai", các bác sĩ tóm tắt trên tạp chí Medical BMJ.

Nói cách khác, các bác sĩ cho rằng không có lý do nào dẫn đến tình trạng khác lạ của ông cụ, hoặc là họ đã thiếu sót ở khâu nào đó. Cuối cùng, họ cho ông chụp CT và MRI não. Kết quả khiến các bác sĩ sững sờ: Thùy não trái của ông cụ hoàn toàn trống không.

Finlay Brown, bác sĩ làm việc tại phòng cấp cứu của bệnh viện Causeway Hospital ở Coleraine, Bắc Ireland không tin nổi vào mắt mình, đã phải cùng đồng nghiệp xem đi xem lại phim chụp não của ông cụ. “Chúng tôi thực sự bối rối với những thứ mà chúng tôi vừa thấy", bác sĩ Brown với The Washington Post.

Các bác sĩ hỏi ông cụ, liệu có phải ông đã từng phẫu thuật sọ não, hoặc bị dị tật bẩm sinh liên quan đến não. Song, ông cụ khẳng định chưa hề gặp vấn đề nào như vậy.

Các bác sĩ chẩn đoán cụ ông có thể đã bị pneumocephalus - một tình trạng có khí trong sọ. Hiện tượng tụ khí này thường xảy ra đối với những bệnh nhân phẫu thuật não. Nó cũng có thể xảy ra sau khi bị nhiễm trùng xoang, chấn thương đầu hoặc mặt, nhưng thường những túi khí nhỏ chứ không to như vậy. Trong trường hợp này, lỗ hỗng trong não bệnh nhân đo được khoảng 8,9 cm, chiếm gần trọn thùy não trái.

"Trong quá trình nghiên cứu và nhiều năm hành nghề, tôi chưa bao giờ thấy trường hợp nào như vậy", bác sĩ Brown nói.

Túi khí này được hình thành như một khối u xương lành tính. Sự hình thành và vị trí của khối u đã tạo nên hiệu ứng van một chiều dần dần tạo thành một khoang không khí bên trong hộp sọ. Qua năm tháng, mỗi khi bệnh nhân ngửi, hắt hơi hay ho, đều khiến đẩy một lượng khí nhỏ vào khoang không khí này.

Theo nghiên cứu của BMJ, khoang không khí đôi khi cũng là nguyên nhân gây ra cơn đột quỵ. Dẫn đến người bệnh bị suy yếu các chi trái cùng một số triệu chứng tương tự như ông cụ.

Bác sĩ Brown cho biết bệnh nhân cần làm phẫu thuật. Trước hết là phẫu thuật để giải nén các túi khí bên trong đầu, sau đó là để loại bỏ túi khí. Tuy nhiên, ông cụ đã từ chối vì tuổi cao. Bác sĩ đã kê cho ông đơn thuốc nhằm tránh bị đột quỵ.

"Lựa chọn không phẫu thuật của ông lão chỉ mang tính chất tạm thời bởi nguy cơ nhiễm khuẩn não rất dễ xảy ra do đã có một đường dẫn khí vào não, vi khuẩn và virus dễ dàng xâm nhập" bác sĩ Brown lo ngại.

May mắn là sau 12 tuần kể từ khi xuất viện, bệnh nhân không hề gặp bất cứ biến chứng nào và đang dần hồi phục chức năng ở chi trái.

Brown nói với LiveScience rằng ông muốn xuất bản nghiên cứu này để nhấn mạnh "tầm quan trọng của việc kiểm tra kỹ lưỡng cho bệnh nhân".