Ngày 17/6, Bệnh viện Nhân Dân 115 (TPHCM) cho biết, theo bệnh sử, người bệnh nhập viện lần đầu tại một bệnh viện tuyến cơ sở với tình trạng yếu nửa người phải.
Hình ảnh chẩn đoán xác định, be656nh nhân bị tắc động mạch não giữa bên trái – một trong những nguyên nhân phổ biến và nguy hiểm nhất gây đột quỵ. Sau khi được điều trị khẩn cấp bằng thuốc tiêu sợi huyết, người bệnh phục hồi kỳ diệu, gần như trở lại bình thường.
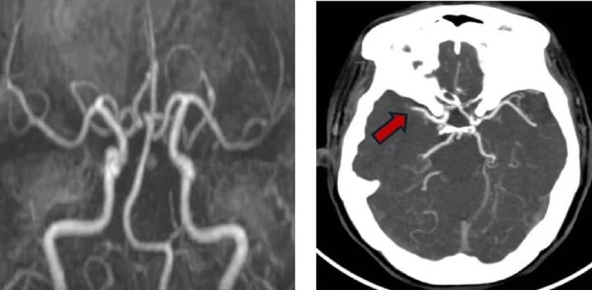
![]() |
| Hình ảnh mạch máu của bệnh nhân được tái thông nhờ thuốc tiêu sợi huyết nhưng sau đó lại bị tắc nghẽn bởi cục máu đông ở lần đột quỵ thứ hai (ảnh: BVCC) |
Tuy nhiên, chỉ vài tiếng sau khi được chuyển đến Bệnh viện Nhân Dân 115 để tiếp tục theo dõi, người phụ nữ bất ngờ bị tái phát đột quỵ. Lần này, bà xuất hiện triệu chứng yếu nửa người trái, thang điểm NIHSS – thước đo mức độ tổn thương thần kinh – từ 0 tăng vọt lên 13 điểm, cho thấy tổn thương mới vừa xảy ra tại bán cầu não đối diện.
Ngay lập tức, quy trình “báo động đỏ” nội viện được kích hoạt. Trên kết quả chụp CT mạch máu não, bác sĩ ghi nhận tình trạng tắc động mạch não giữa bên phải – kèm hình ảnh huyết khối mới hình thành. Người bệnh được đưa thẳng vào đơn vị can thiệp mạch máu thần kinh để nhanh chóng tiến hành lấy huyết khối qua đường ống thông.
Thủ thuật tái thông mạch não được thực hiện thành công trong “thời gian vàng” giúp người bệnh phục hồi vận động gần như hoàn toàn – sức cơ hai bên đều đạt 5/5, không còn dấu hiệu yếu liệt.
Các bác sĩ xác định nguyên nhân gây ra cả hai cơn đột quỵ liên tiếp là do rung nhĩ vĩnh viễn – một rối loạn nhịp tim phổ biến ở người cao tuổi. Đây là bệnh nhân có tiền căn rung nhĩ không kiểm soát, nguy cơ hình thành huyết khối cao, dẫn đến tình trạng tắc nghẽn mạch máu não tái diễn trong thời gian rất ngắn.
Sau khi can thiệp, bệnh nhân được điều trị duy trì bằng thuốc kháng đông thế hệ mới (DOAC), nguy cơ huyết khối do rung nhĩ đã được kiểm soát tốt.
Theo các chuyên gia, đây là ca bệnh điển hình của hiện tượng đột quỵ tái phát sớm do rung nhĩ, một nguyên nhân tim mạch nghiêm trọng nhưng dễ bị bỏ sót nếu không tầm soát và theo dõi chặt chẽ. Để tránh nguy hiểm từ căn bệnh trên, các chuyên gia y tế khuyến cáo người dân, đặc biệt là người cao tuổi, cần chủ động kiểm tra sức khỏe định kỳ, kiểm soát huyết áp, nhịp tim, và tuân thủ điều trị để giảm thiểu nguy cơ tái phát đột quỵ.
