U trung thất là khối u nằm gần tim và rốn phổi. Đó là một tình trạng bệnh không phải là hiếm gặp. Sự phát triển lớn mạnh của một số loại khối u gây ra dấu hiệu chèn ép tim và phổi biểu hiện rõ trên lâm sàng. Nhiều trường hợp dẫn đến suy tim, xẹp phổi, khàn tiếng... mặc dù là u lành tính.
Người bệnh Hán Thị T. 75 tuổi, trú tại Nông Trang – Việt Trì – Phú Thọ là một trường hợp ít gặp có khối u rất lớn từ vùng cổ kéo dài xuống trung thất, bao quanh động mạch chủ, đè ép khí quản. Người bệnh đã được cắt toàn bộ khối u tại Bệnh viện đa khoa tỉnh Phú Thọ.
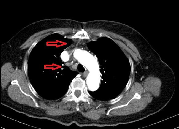
Mặc dù được khám định kỳ và điều trị tăng huyết áp, đái tháo đường theo đơn thuốc ngoại trú. Tuy nhiên, khối u trung thất của bà T. chưa được phát hiện. Các triệu chứng ho khan và mệt của bà chưa rõ rệt. Hơn nữa, với việc chụp Xquang tim phổi thường quy để đánh giá u phổi, u trung thất khó khăn. Cho đến khi mức khó thở, đau đầu tăng lên, kết hợp phim chụp CTcanner cho chẩn đoán xác định khối u lớn trung thất với đặc điểm: Kéo dài từ nền cổ phải xuống trung thất, hình nhiều múi, nằm trước và đè xẹp tĩnh mạch Vô danh. Phần phía trước tĩnh mạch chủ, đẩy lệch và chèn ép khí quản, bao quanh thân động mạch cánh tay đầu, phần ôm quanh tĩnh mạch chủ, tiến ra sau sát cột sống. Quái dị hơn là trong khối rất nhiều tổ chức vôi, xơ mỡ, sợi lông, tóc.
Trung thất là vùng rất nhiều thành phần quan trọng trong đó có tim, mạch máu lớn như động mạch chủ, khí quản, các dây thần kinh, hệ bạch huyết đi qua. Dấu hiệu chèn ép hay gặp như: Phù toàn bộ vùng cổ, mặt, khàn hay mất tiếng, suy tim, khó thở, ho, xẹp phổi... Với đặc điểm như vậy, khối u phát triển lớn, chèn ép gây nguy hiểm, việc phẫu thuật khó khăn và thêm phần nguy hiểm.
![]() |
| Phim chụp khối u kỳ quái khổng lồ chứa đầy xơ mỡ, lông, tóc của ngườ phụ nữ Phú Thọ. Ảnh: BS cung cấp |
Bác sĩ Chuyên khoa II Triệu Quốc Thường - Trưởng Đơn vị Phẫu thuật Tim mạch - Lồng ngực cho biết: “Người bệnh có khối u lớn, chèn ép nhiều, chỉ định phẫu thuật là bắt buộc. Trước đây, các trường hợp u trung thất phức tạp như của người bệnh T. đều phải chuyển lên tuyến Trung ương để can thiệp”.
Hiện nay, với sự lớn mạnh vượt bậc của Trung tâm Tim mạch, đặc biệt là rất nhiều kỹ thuật chuyên sâu đã được thực hiện thường xuyên tại Đơn vị Phẫu thuật Tim mạch – Lồng ngực, người bệnh đã được phẫu thuật ngay tại Đơn vị.
Bác sĩ Chuyên khoa II Hán Văn Hòa – Phó trưởng Đơn vị Phẫu thuật Tim mạch – Lồng ngực, trực tiếp phẫu thuật cho người bệnh cho biết: “Người bệnh T. được xác định có u lớn dạng u quái trung thất, chèn ép, có chỉ định phẫu thuật. Khó khăn đặt ra là bao xung quanh rất nhiều thành phần quan trọng như: Động mạch chủ ngực, tĩnh mạch chủ trên, thân động mạch cánh tay đầu, khí quản, thực quản, các dây thần kinh, hệ thống bạch huyết....việc lấy toàn bộ khối u tránh tổn thương các thành phần quan trọng xung quanh là khó khăn nhất là khi u rất lớn, 5*6*5 cm, viêm dính, vôi hóa toàn bộ”.
Người bệnh T. chia sẻ: Tôi và gia đình lo lắng khả năng thành công của ca mổ, nhất là tôi tuổi cao, lại có bệnh tăng huyết áp, đái tháo đường. Tuy nhiên sau khi được các bác sĩ tư vấn: Bệnh viện thường xuyên phẫu thuật thay van tim, thay động mạch chủ, cắt phổi, cắt u trung thất lớn... các bác sĩ hoàn toàn tự tin trong kiểm soát hoạt động của tim, động mạch chủ, tĩnh mạch chủ, khí quản, kiểm soát vấn đền chảy máu trong phẫu thuật, chăm sóc và kiểm soát sau phẫu thuật tích cực thì khả năng hồi phục tốt. Do đó gia đình đã quyết định cho tôi phẫu thuật tại đây.
Với sự nhất trí cao từ phía chuyên môn và người bệnh, gia đình người bệnh. Ca phẫu thuật cho người bệnh đã được thực hiện thành công với sự phối hợp chuyên nghiệp giữa phẫu thuật viên và bác sĩ gây mê của Đơn vị.
Khối u lớn và kéo dài từ vùng cổ xuống, bao quanh động mạch lớn như của người bệnh T, phương pháp duy nhất là mở xương ức, kéo từ vùng cổ xuống mới có thể cắt trọn khối u và kiểm soát trong mổ thuận lợi. Đường mổ dài và lớn xong nhờ chuyên chăm sóc những bệnh nhân mổ cưa xương ức trong thay van tim, Đơn vị đã chăm sóc toàn diện, tích cực giúp người bệnh phục hồi nhanh chóng, vết mổ khô, thẩm mỹ. Người bệnh đi lại sau 3 ngày, xuất viện sau 7 ngày phẫu thuật, không có tai biến, biến chứng xảy ra. Người bệnh và gia đình hết sức hài lòng.
Ca phẫu thuật đặc biệt này thành công mang lại sức khỏe cho người bệnh, thêm phần khẳng định sự lớn mạnh và phát triển chuyên sâu của Bệnh viện tỉnh nói chung và Đơn vị Phẫu thuật Tim mạch – Lồng ngực nói riêng. Bệnh viện sẽ sớm xứng tầm tuyến bệnh viện hạng Đặc biệt, nhất là chuyên khoa Tim mạch và Lồng ngực.
