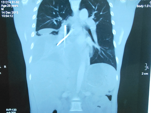
![]() |
| Hai cây đinh trong bụng bệnh nhân B. Ảnh: Do bệnh viện cung cấp |
ThS-BS Nguyễn Ngọc Bảo Long, Khoa Phẫu thuật Tim mạch – Lồng ngực, Bệnh viện Hoàn Mỹ Sài Gòn, cho biết bệnh nhân tên B.,29 tuổi, ngụ quận Gò Vấp, nhập viện cấp cứu vào lúc 9 giờ ngày 17/12 trong tình trạng khó thở, đau ngực phải.
B. kể cách đây một năm, B. đã nuốt 6 thanh kim loại có hình dáng giống cây đinh, 4 cây đầu không có vấn đề gì, nhưng khi nuốt hai cây được buộc với nhau bằng sợi thun thì bị sặc.
Suốt một năm qua, bệnh nhân không thấy dấu hiệu gì nên không đến bệnh viện kiểm tra. Cách ngày nhập viện một tuần, bệnh nhân thấy mệt mỏi, chán ăn, suy kiệt, đau ngực phải ngày càng tăng.
![]() |
| Hai cây đinh đã được các bác sĩ mổ lấy ra khỏi bụng bệnh nhân. |
Mục đích nuốt đinh của B. là để trốn trại cai nghiện vì B bị nghiện và đang trong trại cai nghiện.
Qua các xét nghiệm máu cần thiết, chụp CT 64 lát cắt ở ngực, bụng, các bác sĩ tại BV Hoàn Mỹ Sài Gòn đã phát hiện bệnh nhân bị tràn dịch màng phổi phải lượng nhiều, tạo khoang, dị vật dạng 2 cây đinh bắt chéo chữ X trong phế quản trung gian phổi phải.
Kết quả của các xét nghiệm máu cho thấy bệnh nhân bị nhiễm trùng nặng, đe dọa sốc nhiễm trùng. Các bác sĩ đã tiến hành chọc dò dịch màng phổi và hút ra 600 ml dịch vàng đục, hôi như dịch mủ.
Theo Người lao động

