Google News

Trị viêm âm đạo do Trichomonas

Trị viêm âm đạo do Trichomonas
Tôi đi khám bệnh được bác sĩ chẩn đoán bị viêm âm đạo do Trichomonas và kê đơn cho uống thuốc metronidazol. Vậy xin giải thích giùm, thuốc metronidazol có tác dụng chữa viêm âm đạo do Trichomonas như thế nào? Ngọc Lê (Hoài Đức, Hà Nội).

Trị viêm âm đạo do Trichomonas

> Đối phó với chứng 'khô hạn' ở chị em
> Đề phòng và ngăn ngừa viêm nhiễm phụ khoa

Tôi đi khám bệnh được bác sĩ chẩn đoán bị viêm âm đạo do Trichomonas và kê đơn cho uống thuốc metronidazol. Vậy xin giải thích giùm, thuốc metronidazol có tác dụng chữa viêm âm đạo do Trichomonas như thế nào? Ngọc Lê (Hoài Đức, Hà Nội).

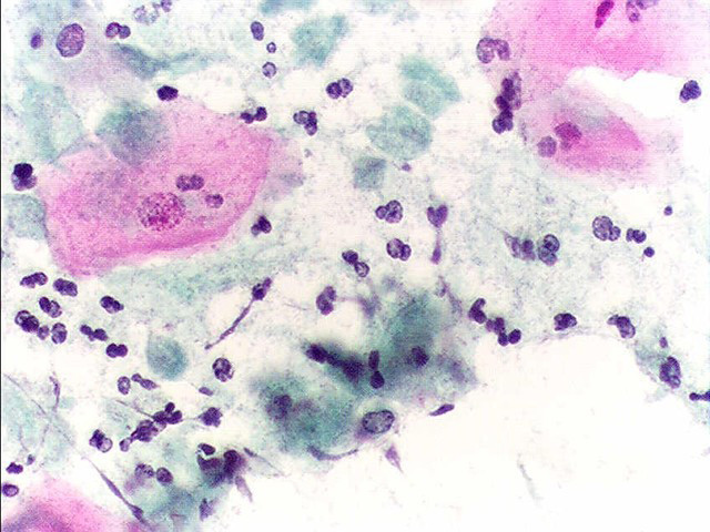
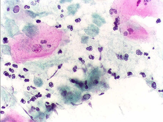
Test tìm vi khuẩn Trichomonas
Test tìm vi khuẩn Trichomonas.

Metronidazol là một dẫn chất 5 - nitro - imidazol, thuộc nhóm thuốc kháng sinh được dùng trong điều trị: Nhiễm khuẩn nặng do vi khuẩn kỵ khí nhạy cảm như nhiễm khuẩn ổ bụng, nhiễm khuẩn da và các cấu trúc da, nhiễm khuẩn hệ thần kinh trung ương, nhiễm khuẩn huyết, nhiễm khuẩn phụ khoa do Trichomonas và những người mang Trichomonas mà không có triệu chứng nhiễm khuẩn.

Có thể phối hợp metronidazol với neomycin hoặc kanamycin để phòng ngừa khi phẫu thuật ở đại trực tràng và phẫu thuật phụ khoa. Metronidazol cũng dùng điều trị viêm lợi hoại tử loét cấp, viêm lợi quanh thân răng và các nhiễm khuẩn răng khác do vi khuẩn kỵ khí. Bệnh Crohn thể hoạt động ở kết tràng, trực tràng. Viêm loét dạ dày - tá tràng do Helicobacter pylori (phối hợp với một số thuốc khác).

Metronidazol có thể uống dưới dạng viên nén (cùng hoặc sau lúc ăn) hoặc dạng dịch treo metronidazol benzoat (ít nhất uống 1 giờ trước khi ăn). Thuốc có thể đặt vào hậu môn, âm đạo hoặc tiêm truyền.

Bạn bị viêm âm đạo do Trichomonas (một loại ký sinh trùng) là bệnh nhiễm khuẩn qua đường tình dục mà phụ nữ hay gặp, với các triệu chứng như: dịch tiết âm đạo ra nhiều có màu trắng, xám, vàng hoặc xanh lá cây, có mùi hôi. Bộ phận sinh dục bị đỏ, rát và ngứa. Đau khi đi tiểu hoặc quan hệ tình dục...

Việc điều trị viêm âm đạo do Trichomonas phổ biến và hiệu quả nhất là uống một liều thuốc metronidazol. Có thể dùng cả thuốc metronidazol đặt âm đạo. Việc uống và đặt thuốc phải theo chỉ định của bác sĩ.

Trong khi điều trị bệnh nhiễm Trichomonas, cần điều trị cho cả bạn tình và cả hai đều nên tránh quan hệ tình dục không bảo vệ cho đến khi nhiễm khuẩn được chữa khỏi (khoảng một tuần).

Khi dùng metronidazol có thể gặp các tác dụng phụ như: buồn nôn, chán ăn, khô miệng, có vị kim loại rất khó chịu. Các phản ứng không mong muốn khác ở đường tiêu hóa có thể gặp như tiêu chảy, đau thượng vị, đau bụng.

Cần chú ý khi dùng cho người bị bệnh ở hệ thần kinh trung ương do thuốc có độc tính với thần kinh như: gây nhức đầu, chóng mặt, lú lẫn, co giật và làm giảm bạch cầu... Khi dùng thuốc, nước tiểu có thể bị nhuộm màu nâu đỏ do các sắc tố hình thành trong quá trình chuyển hóa của thuốc.

Để phòng bệnh do Trichomonas, bạn cần thực hiện hành vi tình dục an toàn: không quan hệ tình dục với nhiều người, sử dụng bao cao su khi sinh hoạt tình dục và đi khám phụ khoa đều đặn 2 lần/năm.

Theo DS. Phạm Trung
Sức khỏe & Đời sống