Google News

Phẫu thuật lấy khối u 'khủng' trong lồng ngực bệnh nhân

TPO - Ngày 16/6, các bác sĩ Khoa Phẫu thuật Tim Mạch – Lồng Ngực Bệnh Viện Đa Khoa Xuyên Á (BVXA) vừa phẫu thuật lấy khối u “khủng” có kích thước khoảng 13x15x18cm (bằng quả tim của bệnh nhân (BN) trong ngực của nam BN N.V.Q. (38 tuổi, ngụ H. Củ Chi).

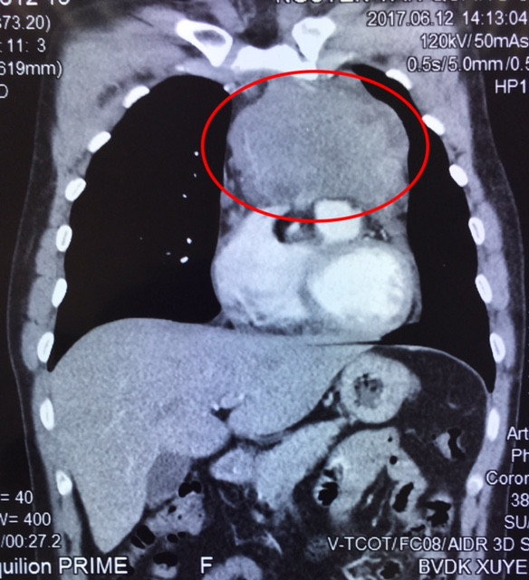
BN Q. có triệu chứng ho dai dẳng, tức ngực liên tục, tự mua thuốc uống thời gian dài nhưng không thuyên giảm. Đến BVXA, BN được chụp cắt lớp vi tính 160 lát (CT) cùng các thăm dò cận lâm sàng cần thiết khác, các bác sĩ xác định có 1 khối u xuất phát từ trung thất trước, xâm lấn rộng vào màng ngoài tim, tĩnh mạch vô danh, thần kinh hoành bên trái, động mạch phổi và lan ra sau dính vào động mạch chủ ngực xuống.

Sau khi phẫu thuật bóc tách, khối u được cắt bỏ toàn bộ cùng với màng ngoài tim và màng phổi trung thất bên trái. Tuy nhiên, vì khối u xâm lấn thần kinh hoành trái lâu ngày, mặc dù thần kinh hoành trái được giải phóng nguyên vẹn ra khỏi khối u, nhưng qua đánh giá trong mổ, cơ hoành trái của BN bị nhão và nhô rất cao hơn bình thường, các bác sĩ quyết định tạo hình làm căng cơ hoành (duplicature cơ hoành) nhằm tránh biến chứng suy hô hấp và không rút được máy thở sau mổ.

Hiện, tình trạng BN hoàn toàn ổn định.

Khối u “khủng” của BN được lấy ra sau phẫu thuật

Khối u tại vị trí trung thất (bên trong lồng ngực) thường đi kèm với triệu chứng chèn ép các cơ quan bên trong trung thất (như mạch máu, thần kinh), hay xâm lấn thành ngực và gây nên nhiều triệu chứng khác như đau ngực, ho khan, yếu cơ, phù nửa trên người (phù áo khoác), khàn giọng, loạn nhịp tim, khó thở, đau ngực... Các khối u trong trung thất thường có tỷ lệ ác tính cao và phần lớn cần phải điều trị phẫu thuật. Phẫu thuật sớm, khi u chưa xâm lấn rộng sẽ dễ dàng hơn về mặt kỹ thuật và tiên lượng sống lâu dài tốt hơn. Do vậy, khi có các triệu chứng như trên, người bệnh nên đến ngay bệnh viện có chuyên khoa phẫu thuật Tim mạch – Lồng ngực để khám và điều trị, nhằm mang lại kết quả tốt nhất.