Google News

Phẫu thuật thành công cho người phụ nữ có thận nằm ở vị trí lạ

TPO - Đi khám vì đau vùng hố chậu nhiều năm không khỏi, nữ bệnh nhân tá hỏa phát hiện có sỏi trong thận nhưng thận của bà lại không nằm ở vị trí bình thường như những người khác.

Ngày 19/02, Bác sĩ CK2 Phạm Thanh Phong - Phó giám đốc chuyên môn Bệnh viện Đa khoa Trung ương Cần Thơ cho biết, bệnh viện vừa phẫu thuật thành công một trường hợp sỏi thận hiếm gặp ở vị trí thận lạc chỗ ở hố chậu. Đây là một ca bệnh hi hữu, bởi theo một công trình nghiên cứu, xác suất gặp thận lạc chỗ trong hố chậu là 1/26.500 người.

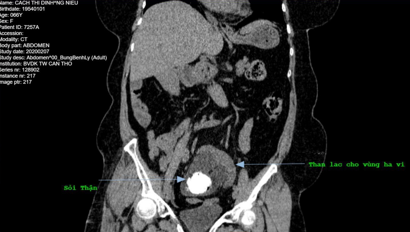
Phẫu thuật thành công cho người phụ nữ có thận nằm ở vị trí lạ ảnh 1Vị trí thận nằm lạc chỗ trong hố chậu. 

Bệnh nhân nói trên là bà Bạch Thị Định (66 tuổi, ngụ quận Cái Răng, TP Cần Thơ). Theo lời kể của người nhà, bà Định bị đau vùng hố chậu nhiều năm nhưng không đi khám và điều trị. Cách nhập viện 2 ngày, bà  bị đau hông lưng trái dữ dội, cơn đau ngày càng tăng, uống thuốc không giảm nên gia đình đã đưa bà đến bệnh viện cấp cứu.

Sau khi tiếp nhận bệnh nhân, các bác sĩ đã tiến hành siêu âm và chụp CT-scan. Kết quả cho thấy, bà Định có sỏi thận trái và đặc biệt là vị trí của thận trái lại nằm lạc chỗ trên vùng hố chậu, bên trong còn có có dịch kém thuần trạng. Bên cạnh đó, bệnh nhân này còn có bệnh lý đái tháo đường type 2, tăng  huyết áp, thiếu máu cục bộ cơ tim.                  

Nhận định đây là một trường hợp đặc biệt, bệnh nhân được chỉ định phẫu thuật lấy sỏi thận trái. Ngay sau đó, ekip phẫu thuật đã tiến hành mổ thận trái và lấy ra viên sỏi to, kích thước 33x27mm và bơm rửa ra nhiều sỏi bùn.

Sau ca phẫu thuật, hiện tại tình trạng bà Định dần ổn định, đi tiểu tốt, hết đau bụng, không sốt, dự kiến  xuất viện trong vài ngày tới.

Phẫu thuật thành công cho người phụ nữ có thận nằm ở vị trí lạ ảnh 2Bà Định phục hồi tốt sau ca phẫu thuật - Ảnh: Kim Hà.

Theo Bác sĩ CK2 Nguyễn Phước Lộc - Trưởng khoa ngoại tiết niệu, thận lạc chỗ là một dạng dị tật bẩm sinh đường tiết niệu, do quá trình di chuyển của thận thời kì bào thai bị rối loạn, dẫn đến thận không ở đúng vị trí là vùng hạ sườn hai bên sau khi sinh ra.

Ước tính thận lạc chỗ gặp trong 1/1000 người. Đặc biệt, thận lạc chỗ trong hố chậu hiếm gặp hơn. Theo một công trình nghiên cứu tại Đài Loan, xác suất gặp thận lạc chỗ trong hố chậu là 1/26.500 người. Phần lớn bệnh nhân có thận lạc chỗ thường không có triệu chứng, chỉ được phát hiện khi tình cờ đi siêu âm và khám sức khỏe tổng quát.

Thận lạc chỗ gây ra biến chứng như: Nhiễm trùng đường tiết niệu, tắc nghẽn đường tiết niệu hay sỏi thận, trào ngược bàng quang niệu quản. Các triệu chứng hay gặp nhất là đau bụng, sốt, tiểu máu, tiểu gắt buốt, khối u vùng bụng, tăng huyết áp và bí tiểu.

Các bác sĩ khuyến cáo nên tầm soát từ khi còn nhỏ, bởi một chấn thương vào vùng bụng là nguy cơ đối với thận lạc chỗ vì nó không được bảo vệ bởi khung xương sườn. Hơn nữa, nếu thận lạc chỗ ở bé gái thì việc có thai về sau có thể bị ảnh hưởng. Người bệnh có thể đến các cơ sở có chuyên khoa niệu để kiểm tra, chụp UIV, CT-Scan hoặc xạ hình thận để xác định bất thường của thận để có hướng điều trị phù hợp và kịp thời.