Google News

Quảng Trị: Mổ thành công khối u tuyến ức nặng 1kg ở bệnh nhân lớn tuổi

TPO - Chiều 10/4, Bác sĩ Nguyễn Xuân Dũng-Trưởng khoa Ung bướu Bệnh viện Đa khoa tỉnh Quảng Trị cho hay, vừa phẫu thuật thành công khối u tuyến ức lớn ở nữ bệnh nhân lớn tuổi. Đây là lần đầu tiên các bác sĩ tại bệnh viện Đa khoa tỉnh Quảng Trị thực hiện một ca phẫu thuật có khối u tuyến ức lớn như thế này.
Trước đó, Bệnh viện Đa khoa tỉnh Quảng Trị tiếp nhận bệnh nhân Lê Thị Huột (71 tuổi, xã Triệu Trạch, huyện Triệu Phong, Quảng Trị) trong tình trạng liên tục thiếu máu. Chụp chiếu toàn thân bệnh nhân thì phát hiện 1 khối u lớn ở tuyến ức. Bệnh nhân Huột lớn tuổi, thiếu máu, từng bị ung thư song khối u quá lớn, lâu dài sẽ ảnh hưởng đến tính mạng nên các bác sĩ quyết định mổ cho bệnh nhân, dù có nhiều yếu tố rủi ro.
“Kíp mổ của Khoa Ung bướu đã tiến hành mở ngực đường giữa, cắt xương ức, tiếp cận khối u, cô lập các mạch máu nuôi u, bóc tách khối u có kích thước 12 x10 cm, nặng khoảng 1 kg ra khỏi thành ngực thành công sau 3 giờ phẫu thuật”, BS Dũng nói.
Quảng Trị: Mổ thành công khối u tuyến ức nặng 1kg ở bệnh nhân lớn tuổi ảnh 1
Các y bác sĩ Khoa Ung bướu, Bệnh viện Đa khoa tỉnh Quảng Trị thực hiện ca phẫu thuật bệnh nhân lớn tuổi Lê Thị Huột. Ảnh: BVĐKQT. 
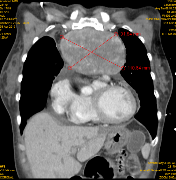
Quảng Trị: Mổ thành công khối u tuyến ức nặng 1kg ở bệnh nhân lớn tuổi ảnh 2
Hình ảnh khối u lớn được chụp lại. Ảnh: BVĐKQT.