Khai thác bệnh sử, bệnh nhân Thu Hồng chia sẻ có đến cơ sở thẩm mỹ để tẩy mụn trứng cá ở lưng. Nhân viên Spa đã bôi thuốc tê nửa lưng cho khách rồi ủ tê bằng màng bọc thực phẩm. Sau khi lau thuốc tê, bước tiếp theo là dùng bàn lăn kim (dài 2mm) kết hợp với thuốc đông y để trị mụn. Khoảng 30 phút thì chị Thu Hồng xuất hiện đỏ toàn thân, ngứa, khó thở và rối loạn ý thức. Chị Hồng được cơ sở Spa sơ cứu tại chỗ rồi chuyển đến Trung tâm Chống độc, Bệnh viện Bạch Mai.
Tại Trung tâm Chống độc, bệnh nhân Hồng đã được xử trí cấp cứu bằng các biện pháp điều trị sốc phản vệ. Ban đầu, tình trạng chị Hồng có cải thiện nhưng sau đó lại xuất hiện rối loạn nhịp tim. Bệnh nhân được chẩn đoán sốc phản vệ kết hợp bị ngộ độc lidocaine (thuốc gây tê tại chỗ hấp thu qua da trên diện rộng và từ từ gây ngộ độc). Các bác sĩ đã tiến hành cấp cứu và kết hợp lọc máu liên tục cho bệnh nhân Thu Hồng.
Sau 5 ngày điều trị tích cực, sức khỏe bệnh nhân Hồng đã dần hồi phục. Dưới góc nhìn của chuyên gia chống độc, TS.BS.Nguyễn Trung Nguyên - Giám đốc Trung tâm Chống độc, Bệnh viện Bạch Mai cho biết: Loại thuốc tê đã dùng cho bệnh nhân ở dạng gel (tương tự kem bôi) chứa lidocain với hàm lượng trên 15% (hàm lượng rất cao so với loại thuốc tê dùng để tiêm thường chỉ ở nồng độ 2%). Loại gel gây tê này đồng thời có chứa tá dược là methylparaben cũng có thể gây dị ứng.
Trường hợp của bệnh nhân Hồng là ca điển hình của ngộ độc thuốc tê do bị quá liều thuốc tê lidocain. Ban đầu, bệnh nhân không may bị sốc phản vệ nhiều khả năng là do methyl paraben. Nhưng chính điều này lại giúp bệnh nhân nhanh chóng được đưa đến viện để cấp cứu hồi sức. Rồi sau đó khi thuốc tê ngấm từ từ qua da tới mức gây ngộ độc, gây loạn nhịp tim muộn thì cũng là lúc bệnh nhân đã ở bệnh viện, lại ở tại một cơ sở cấp cứu hồi sức về ngộ độc nên đã được điều trị một cách phù hợp giúp qua khỏi tình trạng ngộ độc thuốc tê.
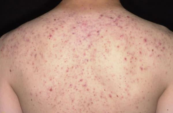
![]() |
| Bệnh nhân bị ngộ độc thuốc tê khi đến Spa trị mụn |
Trong trường hợp bệnh nhân không bị sốc phản vệ (trên thực tế xác suất bị dị ứng hoặc phản vệ là thấp) thì có thể bệnh nhân đã vẫn ở cơ sở Spa và khi thuốc tê được hấp thu tới mức ngộ độc, khi đó bị loạn nhịp tim hoặc co giật thì rất dễ tử vong tại chỗ do tình trạng này nặng, nguy kịch và khó xử trí ngoài bệnh viện hơn rất nhiều.
Bác sĩ Nguyên đưa ra khuyến cáo ngộ độc thuốc gây tê rất nặng, nguy kịch, dễ tử vong và dễ dàng xảy ra với nhiều phẫu thuật, thủ thuật thẩm mỹ như: bôi thuốc tê rộng trên da, đặc biệt kết hợp lăn kim trên da hoặc trên vùng da có tổn thương hoặc bệnh da có sẵn, gây tê lấy mỡ bụng (“xục” lấy mỡ bụng), gây tê tủy sống. Đây đều là các trường hợp đòi hỏi người thực hiện là các nhân viên y tế được đào tạo chuyên khoa và tiến hành ở các bệnh viện có điều kiện cấp cứu hồi sức mới có thể đủ năng lực phòng tránh và xử trí các tai biến ngộ độc do thuốc tê.
Người dân khi muốn làm thẩm mỹ với các thủ thuật, kỹ thuật xuyên qua da (gây chảy máu, hay còn gọi là các thủ thuật/kỹ thuật xâm nhập thường bằng kim hoặc dao mổ) hoặc có bôi/đắp các thuốc trên diện da rộng thì cần tới các bệnh viện đảm bảo đúng chuyên môn về thẩm mỹ và cấp cứu hồi sức, tránh việc tới rất nhiều tiệm Spa, hớt tóc, thẩm mỹ hoặc các phòng khám không đảm bảo an toàn như hiện nay để tránh tiền mất, tật mang và thường là mất đi mạng sống của mình.
