![]() |
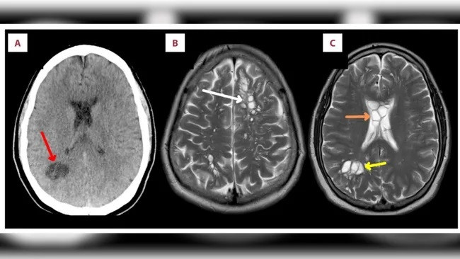
| Kết quả quét não của người đàn ông cho thấy nhiều khối ấu trùng sán dây lợn phát triển ở các phần khác nhau trong não. (Ảnh: Byrnes E, Shaw B, Shaw R, Madruga M, Carlan SJ). |
Các bác sĩ ở Mỹ đã vô cùng ngạc nhiên khi phát hiện ra rằng, một người đàn ông đến phòng khám vì chứng đau nửa đầu có giun ký sinh đang phát triển trong não.
Người đàn ông 52 tuổi bị nhiễm ấu trùng Taenia solium, một loại sán dây thường lây nhiễm ở lợn. Ký sinh trùng này có thể lây nhiễm cho người vô tình ăn thịt lợn chưa được nấu chín kỹ.
Bệnh nang sán thần kinh
Việc tiêu thụ trứng hoặc ấu trùng T. solium thường dẫn đến một tình trạng gọi là bệnh sán dây, trong đó các túi nhỏ kèm theo hoặc u nang của ấu trùng giun tích tụ trong ruột của con người. Tuy nhiên, người đàn ông trong trường hợp này đã phát triển một tình trạng khác, gọi là bệnh u nang, một dạng nhiễm trùng trong đó các u nang tự bám vào bên trong một mô khác, chẳng hạn như cơ hoặc não. Khi chúng xâm nhập vào hệ thống thần kinh, tình trạng này được gọi là bệnh nang sán thần kinh.
Trên toàn cầu, ước tính có khoảng 2,5 triệu đến 8,3 triệu người mắc bệnh nang sán thần kinh. Tình trạng này phổ biến ở các nước đang phát triển, đặc biệt là các quốc gia mà lợn là nguồn thực phẩm chính và ở những khu vực có điều kiện vệ sinh kém. Tuy nhiên, tỷ lệ du lịch và nhập cư quốc tế ngày càng tăng đồng nghĩa với việc bệnh giun sán đang trở nên phổ biến hơn ở các nước phát triển, chẳng hạn như Mỹ.
Bệnh nang sán thần kinh thường gây đau đầu và co giật, với triệu chứng sau xảy ra ở 80% bệnh nhân. Mức độ nghiêm trọng của triệu chứng thường phụ thuộc vào cấu trúc và mô nào trong não đã bị nhiễm giun.
Người đàn ông trong trường hợp gần đây có tiền sử đau nửa đầu nhưng đã đến gặp bác sĩ ngay sau khi chứng đau nửa đầu đột nhiên trở nên thường xuyên và nghiêm trọng hơn. Người này cũng bị đau dữ dội hơn ở phía sau hộp sọ.
Tại phòng khám, kết quả chụp cắt lớp vi tính (CT) cho thấy người đàn ông này có nhiều u nang bên trong chất trắng, hay còn gọi là dây cách điện, trong não - đặc biệt là các sợi thần kinh nằm sâu bên trong. Người đàn ông này có một cụm u nang đáng chú ý ở góc dưới bên phải của não. Các bác sĩ đã cho người đàn ông này nhập viện luôn.
Tại bệnh viện, kết quả chụp cộng hưởng từ (MRI) cho thấy có thêm các u nang ở phần trước và phần giữa của lớp ngoài não, cũng như tình trạng sưng tấy, điều này càng khẳng định chẩn đoán bệnh u nang thần kinh.
Người đàn ông này thừa nhận có thói quen ăn thịt xông khói chưa chín kỹ trong phần lớn cuộc đời mình. Cục Quản lý Thực phẩm và Dược phẩm Hoa Kỳ khuyến nghị nên nấu thịt lợn ở nhiệt độ ít nhất là khoảng 63 độ C. Rất khó để xác định nhiệt độ của thịt xông khói đã nấu chín vì đây là loại thịt mỏng. Tuy nhiên, theo Bộ Nông nghiệp Hoa Kỳ, nếu thịt giòn là nó đã đạt đến nhiệt độ an toàn .
Các bác sĩ suy đoán rằng, ban đầu ngưởi đàn ông này có thể mắc bệnh taenosis do thói quen ăn uống và sau đó mắc bệnh u nang do không rửa tay đúng cách sau khi đi vệ sinh.
Sau khi được điều trị kịp thời bằng thuốc chống ký sinh trùng và chống viêm, người đàn ông đã sống sót sau khi bị nhiễm trùng não. Các tác giả báo cáo viết, người đàn ông này đã được điều trị thành công bằng các loại thuốc làm giảm kích thước tổn thương do ký sinh trùng, đồng thời cải thiện chứng đau đầu.
