Google News

Sán dài 8 cm làm tổ trong não vì thức ăn đường phố

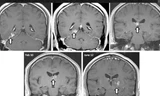
Các bác sĩ của bệnh viện Tân Hoa, Thượng Hải, Trung Quốc vừa phải tiến hành phẫu thuật loại bỏ một con sán dài 8 cm sống trong não một cậu bé 11 tuổi sau khi bị lên cơn động kinh.

Cậu bé được đưa tới bệnh viện hôm 12/11 sau khi bị lên cơn co giật và mất ý thức. Bố mẹ cậu cho biết có lẽ nguyên nhân của của việc này là do cậu bé ăn những thực phẩm mất vệ sinh hoặc chưa nấu chín trên đường phố như thịt nướng, thịt rắn...

Các bác sĩ xác định loại sán ký sinh trong não cậu bé là sparganosis, thâm nhập vào cơ thể người khi con người ăn phải thịt ếch, thịt rắn hay động vật có vú nhỏ đã bị nhiễm sán. Đôi khi loại sán này còn xuất hiện khi con người ăn phải thịt lợn sống, chưa được nấu chín.

Sán xâm nhập vào cơ thể thông qua đường tiêu hóa, lan tới mắt hoặc não, gây tổn thương cho não bộ.

Theo Phương Mai