![]() |
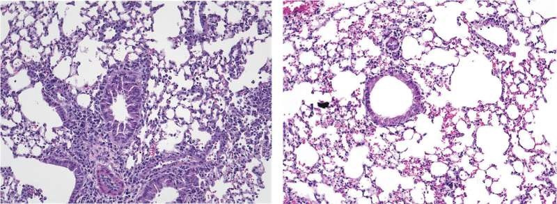
| Kích hoạt ILC2 gây viêm ở phổi chuột (ảnh trái), nhưng tình trạng này giảm đi khi điều trị bằng Yoda1 để kích thích các kênh Piezo1 (ảnh phải). |
Nghiên cứu này được công bố trên Tạp chí Y học Thực nghiệm (JEM), cho thấy rằng việc kích hoạt Piezo1 có thể là một phương pháp trị liệu mới để giảm viêm phổi và điều trị hen suyễn dị ứng.
Tế bào bạch huyết bẩm sinh loại 2 (còn được gọi là ILC2) là một loại tế bào miễn dịch cư trú trong phổi, da và các mô khác của cơ thể. ILC2 trong phổi được kích hoạt khi có chất gây dị ứng và tạo ra các tín hiệu tiền viêm thúc đẩy việc tuyển dụng các tế bào miễn dịch khác vào phổi. Nếu không được kiểm soát có thể dẫn đến tình trạng viêm quá mức và thắt chặt đường thở, khiến bệnh nhân hen suyễn khó thở.
Omid Akbari, Giáo sư Miễn dịch học và Giáo sư Y khoa tại Trường Keck của USC cho biết: “Do tầm quan trọng của ILC2 trong bệnh hen suyễn dị ứng, nên cần phải phát triển các phương pháp tiếp cận dựa trên cơ chế mới để nhắm vào các nguyên nhân quan trọng gây viêm trong phổi”.
Akbari và các đồng nghiệp đã phát hiện ra rằng, khi một chất gây dị ứng kích hoạt chúng, ILC2 bắt đầu tạo ra một loại protein gọi là Piezo1 có thể hạn chế hoạt động của chúng. Piezo1 hình thành các kênh ở màng ngoài của tế bào để đáp ứng với những thay đổi cơ học trong môi trường tế bào, cho phép canxi đi vào tế bào và thay đổi hoạt động của nó.
Nhóm của Akbari phát hiện ra rằng, khi không có Piezo1, ILC2 của chuột trở nên hoạt động mạnh hơn bình thường để phản ứng với các tín hiệu gây dị ứng và các con vật này bị viêm đường hô hấp gia tăng. Ngược lại, điều trị bằng thuốc có tên Yoda1 kích hoạt các kênh Piezo1 làm giảm hoạt động của ILC2, giảm viêm đường thở và giảm bớt các triệu chứng tiếp xúc với chất gây dị ứng.
Các quan sát của nhóm cho thấy vai trò quan trọng của các kênh Piezo1 trong quá trình chuyển hóa ILC2, vì việc điều trị bằng Yoda1 làm giảm chức năng ty thể của ILC2 và điều chỉnh lại nguồn năng lượng của tế bào.
Cuối cùng, các nhà nghiên cứu xác định rằng, ILC2 của con người cũng tạo ra Piezo1 và do đó họ đã thử nghiệm tác dụng của Yoda1 trên những con chuột có ILC2 đã được thay thế bằng tế bào miễn dịch của con người.
Akbari nhấn mạnh: "Các nghiên cứu trong tương lai sẽ phát triển phương pháp trị liệu dựa trên Piezo1 để điều trị bệnh hen suyễn dị ứng".
