Google News

Trồng răng cấm giá bao nhiêu là chuẩn nhất?

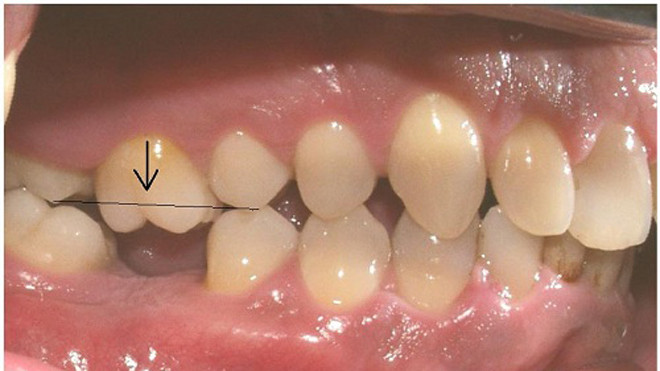
Mất răng cấm cần được trồng lại răng giả sớm
Mất răng cấm cần được trồng lại răng giả sớm
Trồng răng cấm giá bao nhiêu chuẩn nhất hiện nay là vấn đề rất nhiều người muốn biết khi có nhu cầu cần trồng lại răng bị mất.

Răng cấm hay các răng ở vị trí số 5, 6, 7 có vai trò ăn nhai chính trên cung hàm, do đó một khi răng bị mất đi thì chức ăn nhai sẽ bị giảm sút. Lúc này vấn đề cấp thiết là cần được trồng lại răng càng sớm càng tốt.

Hiện nay, có hai phương pháp trồng răng giả cho răng cấm bị mất đó là làm cầu răng hoặc cấy ghép Implant.

Làm cầu răng là cách trồng răng cổ điển, nó được sử dụng một dải cầu răng chèn lên phần răng bị mất với trụ đỡ được làm bằng 2 răng kế bên. Tuy nhiên, phương pháp này khá rủi ro bởi khi lực ăn nhai quá mạnh sẽ khiến cho 2 răng trụ dần bị yếu đi, và một khi răng bị bệnh lý thì cầu răng cũng không thể sử dụng tiếp được.

Nên trồng răng cấm bằng phương pháp cấy ghép Implant

Theo các chuyên gia nha khoa trên thế giới khuyến khích rằng, tốt nhất bạn nên thực hiện trồng răng cấm bị mất bằng phương pháp cấy ghép Implant. Cấy ghép Implant tuy mức chi phí tương đối cao hơn so với làm cầu răng nhưng xét về lâu dài thì răng Implant có tính hiệu quả kinh tế rất nhiều vì nó có thể khắc phục được tất cả nhược điểm của cầu răng.

Cấy ghép Implant là như thế nào?

Cấy ghép Implant là cách sử dụng những trụ Implant để cấy ghép vào trong mô xương hàm nhằm thay thế cho chân răng thật đã mất trước đó. Tiếp theo mão răng sứ sẽ được gắn lên trên trụ Implant thông qua khớp nối Abutment để tạo thành 1 chiếc răng hoàn chỉnh giống hệt như răng thật.

Sở dĩ răng Implant được xem là phương pháp trồng răng cấm tốt nhất và hiệu quả kinh tế cao là do nó có cấu tạo như 1 chiếc răng thật với chân răng cố định bên trong xương hàm. Điều này khiến cho mô xương hàm có chỗ bám vững chắc nhất và không bị tiêu hõm đi.

Chiếc răng Implant sẽ nằm cố định, không bị xê dịch và đảm bảo tồn tại lâu dài, bệnh nhân chỉ cần trồng răng trong 1 lần duy nhất mà không cần phải tốn thêm thời gian hay chi phí để làm lại đi làm lại răng mới. 

Trồng răng cấm giá bao nhiêu là chuẩn nhất? ảnh 2Kỹ thuật cấy ghép Implant

Trồng răng cấm giá bao nhiêu là chuẩn nhất?

Tại Nha Khoa Đông Nam, trồng răng cấm với phương pháp cấy ghép Implant sẽ có chi phí phụ thuộc vào loại Implant mà bệnh nhân muốn sử dụng cũng như số lượng Implant cụ thể cần được cấy ghép. Trước tiên, chúng tôi xin giới thiệu bảng giá từng loại Implant như sau:

Implant Hàn Quốc giá 700 USD/đơn vị; Implant Pháp giá 850 USD/đơn vị; Implant Mỹ giá 1.000 USD/đơn vị; Implant ETK Active giá 1.200 USD/đơn vị (gắn răng liền); Implant Nobel Active giá 1.400 USD/đơn vị (gắn răng liền).

Mức chi phí của các loại Implant bên trên là chi phí trọn gói cho 1 răng Implant. Ngoài ra, khi thực hiện điều trị tại Nha Khoa Đông Nam, bạn sẽ có thêm nhiều chính sách ưu đãi hỗ trợ khác như:

-          Miễn phí chi phí thăm khám và tư vấn.

-          Miễn phí chi phí chụp phim CT 3D tại chỗ.

-          Miễn phí chi phí cấy ghép xương trong trường hợp tiêu xương, thiếu xương.

-          Tặng răng sứ trên Implant trị giá 1.000.000 đ

-          Chỗ nghỉ ngơi trong ngày.

-          Được hỗ trợ bảo hành vĩnh viễn.

Nha Khoa Đông Nam chúng tôi luôn tự hào là một đơn vị hàng đầu về công nghệ cấy ghép răng Implant trong suốt 13 năm qua, với đội ngũ bác sĩ nhiều kinh nghiệm, kỹ thuật chuyên sâu, hệ thống trang thiết bị cấy ghép hiện đại và được nâng cấp liên tục sẽ đảm bảo:

-          An toàn sức khỏe.

-          Hạn chế tối đa sang chấn.

-          Mang đến kết quả phục hình thẩm mỹ cao nhất.

Khi các bạn có nhu cầu trồng răng cấm với phương pháp cấy ghép Implant, hãy đến ngay chúng tôi để được các bác sĩ chuyên khoa thăm khám và tư vấn hoàn toàn miễn phí.

NHA KHOA ĐÔNG NAM

Cơ sở 1: 411 Nguyễn Kiệm, P.9, Q. Phú Nhuận, Tp.HCM

Cơ sở 2: 614 Lê Hồng Phong, P.10, Q.10, Tp.HCM

Điện thoại: (028) 7307.7141

Mobile: 0927.411.411

Email: nhakhoadongnam@gmail.com

Website: www.nhakhoadongnam.com