Ngày 8/5, thông tin từ Bệnh viện Hoàn Mỹ Sài Gòn cho biết, tại đây vừa tiếp nhận và điều trị cho ông N.V (68 tuổi, ngụ quận 1, TPHCM) bị viêm túi thừa đại tràng, biến chứng xuất huyết ồ ạt.
Trước khi nhập viện, bệnh nhân đột ngột đi cầu ra máu ồ ạt, kèm đau vùng bụng bên phải. Sau khi nhập viện cấp cứu, ông được các bác sĩ thăm khám, xét nghiệm máu và chụp cắt lớp (CT) vùng bụng. Kết quả cho thấy, đại tràng phải của bệnh nhân có túi thừa viêm đang xuất huyết mức độ nặng.
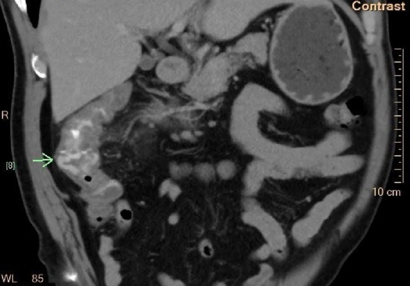
![]() |
| Vị trí túi thừa đại tràng bị viêm gây xuất huyết ồ ạt khiến bệnh nhân mất máu cấp |
Nhận định bệnh nhân có nguy cơ mất máu, nguy hiểm tính mạng nếu không được can thiệp kịp thời, các bác sĩ nhanh chóng hội chẩn liên chuyên khoa và chỉ định truyền máu bổ sung, can thiệp nội mạch cấp cứu cho bệnh nhân.
BS.CKII Nguyễn Phước Thuyết, Trưởng khoa Chẩn đoán Hình ảnh, người trực tiếp cấp cứu cho bệnh nhân cho biết, người bệnh được đưa một ống thông nhỏ với đường kính chỉ 0,7mm vào động mạch đùi tại vùng bẹn. Dưới sự hướng dẫn của màn hình tăng sáng, ống thông được luồng theo đường động mạch đến vị trí chảy máu.
"Sau 40 phút can thiệp, chúng tôi tiến hành bơm dung dịch xốp cầm máu qua ống thông, làm bít thành công vị trí mạch máu đang xuất huyết. Sau can thiệp, sức khỏe bệnh nhân đã ổn định” - BS Thuyết cho hay.
![]() |
| Sau khi được can thiệp, sức khỏe bệnh nhân đã bình phục tốt |
Theo một số bác sĩ chuyên khoa Tiêu hóa, bệnh túi thừa đại tràng gặp ở 10% người trên 40 tuổi và hơn 50% là người trên 60 tuổi. Hầu hết các túi thừa đại tràng đều không có triệu chứng, được phát hiện tình cờ khi nội soi đại tràng hoặc khi có túi thừa bị viêm. Biến chứng viêm túi thừa đại tràng đa số là thủng hoặc áp xe. Khoảng 5% trường hợp túi thừa có biến chứng xuất huyết, gây ra tình trạng đi tiêu phân có máu. Xuất huyết từ túi thừa chiếm 30 - 50% trường hợp chảy máu ồ ạt ở đại, trực tràng. Độ tuổi trên 70 hoặc người bị túi thừa cả 2 bên đại tràng sẽ làm tăng nguy cơ xuất huyết, đặc biệt ở những trường hợp béo phì.
Để phát hiện sớm bệnh lý túi thừa đại tràng cũng như các bệnh lý khác của đường tiêu hóa, các bác sĩ khuyến cáo cộng đồng cần khám sức khỏe định kỳ. Người trên 40 tuổi hoặc có các triệu chứng như đau bụng, rối loạn tiêu hóa, đi tiêu phân đen... cần nội soi đại tràng tầm soát các bệnh lý đường tiêu hóa. Để phòng ngừa các biến chứng của túi thừa đại tràng, người bệnh cần ăn nhiều chất xơ, tăng cường vận động.

