Google News

Chiếc kim gỉ trong não bệnh nhân suốt nhiều năm

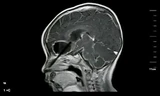
Hình ảnh trên phim chụp cho thấy cây kim ở trong đầu bệnh nhân. Ảnh: SCMP.
Hình ảnh trên phim chụp cho thấy cây kim ở trong đầu bệnh nhân. Ảnh: SCMP.
Chiếc kim được cho là vô tình có trong đầu một phụ nữ Trung Quốc từ khi bà còn nhỏ, gây đau đầu, động kinh suốt nhiều năm.

Các bác sĩ tại một bệnh viện ở thành phố Lạc Dương, tỉnh Hà Nam, lấy ra chiếc kim gỉ dài 6 cm trong đầu bà Wang Xiaohong, 58 tuổi, Dahe Daily đưa tin hôm 26/9. Vật thể lạ là nguyên nhân khiến bà Wang bị đau đầu suốt nhiều năm qua.

Bà Wang cũng bị động kinh và không biết đến sự tồn tại của chiếc kim, cho tới khi chụp tia X.

"Tôi thực sự không biết tại sao kim lại ở đó", bà Wang nói.

Theo SCMP, bà Wang đã tới nhiều bác sĩ để tìm nguyên nhân của bệnh đau đầu và động kinh nhưng không có kết quả. Bà nghi cây kim vô tình có trong đầu mình lúc còn là một đứa trẻ. 

Các bác sĩ cho biết trường hợp của bà Wang hiếm gặp và cho rằng bệnh nhân may mắn vì không bị tổn thương dây thần kinh. Hiện, bà Wang hồi phục tại nhà và sẽ cần phải dùng thuốc thường xuyên vì những cơn co giật.