![]() |
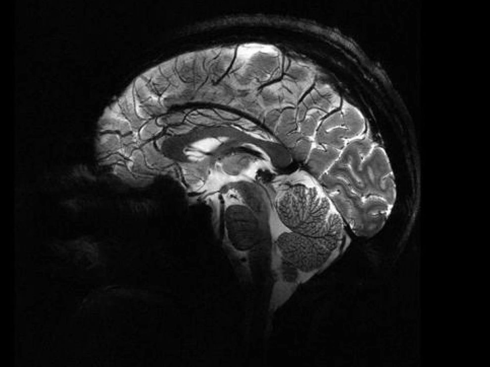
| Bộ não người chụp từ máy quét MRI Iseult (Ảnh: CEA). |
Những hình ảnh lịch sử này được chụp từ máy quét MRI Iseult, chụp cộng hưởng từ, trong trung tâm nghiên cứu CEA, Ủy ban Năng lượng Nguyên tử Pháp.
Giám đốc nghiên cứu tại CEA, Nicolas Boulant cho biết: "Đó là một thế giới chưa biết, mở ra trước mắt chúng ta và các nhà khoa học đang nóng lòng muốn khám phá nó.
Với những hình ảnh này, chúng ta có thể thấy những chi tiết khá ngoạn mục. Nó cho chúng ta biết về các chi tiết giải phẫu như tĩnh mạch hoặc các lớp vỏ não mà trước đây không thể đạt được".
Nhờ máy quét MRI Iseult, các nhà nghiên cứu có thể bóc tách bộ não của chúng ta với độ chính xác đáng kinh ngạc: khoảng một phần trăm triệu mét hay độ dày của bốn sợi tóc.
Sức mạnh gấp 230.000 lần từ trường Trái Đất
Những kết quả này đánh dấu đỉnh cao của các nhà nghiên cứu sau hơn 20 năm làm việc, với tổng chi phí khoảng 200 triệu euro.
![]() |
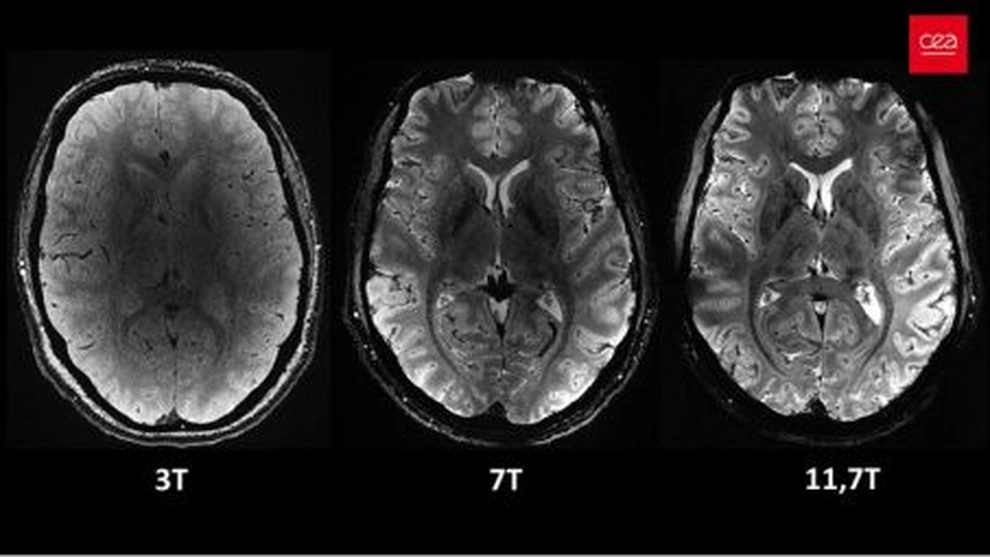
| Phần trục của não người (Ảnh: CES). |
Nhà nghiên cứu Anne Isabelle Etienvre (CEA), cho biết, cỗ máy này tạo ra từ trường kỷ lục (11,7 đơn vị Tesla), gấp 230.000 lần từ trường Trái Đất. Lưu ý rằng, từ trường càng cao thì độ phân giải của hình ảnh càng lớn.
Cỗ máy quét MRI hiện được đặt tại trung tâm hình ảnh thần kinh CEA Neurospin ở Saclay (Pháp).
Nó sở hữu một nam châm điện khổng lồ có đường kính 5 mét, dài 5 mét và nặng hơn 130 tấn, sử dụng năng lượng từ dòng điện lên đến 1.500 Ampe.
Kiệt tác này được tạo thành từ 182km dây hợp kim niobium-titan siêu dẫn, quấn trong một cuộn dây. Để hoạt động, nó phải được làm lạnh đến nhiệt độ âm 271,35⁰C, nhờ 7.500 lít heli siêu lỏng.
Một thời khắc lịch sử
Hình ảnh về bộ não của những tình nguyện viên được giới thiệu tới công chúng vào ngày 2/4, là một khoảnh khắc lịch sử.
Lần đầu tiên trên thế giới, bộ não của chúng ta được chụp lại với độ chính xác cao. Nó hy vọng sẽ làm sáng tỏ kiến thức y học và khoa học, tiết lộ những hứa hẹn tuyệt vời cho tương lai.
Nhờ các phân tích chức năng, máy quét MRI này có thể giúp chúng ta hiểu rõ hơn cách thức hoạt động của não trong các quá trình nhận thức như đọc, học ngôn ngữ.
Đồng thời cỗ máy cũng có thể thăm dò hoạt động sinh hóa của não hay lập bản đồ phân bố của lithium, glucose, glutamate hoặc sắt có trong não bộ. Những chất này vốn liên quan đến các bệnh tâm thần khác nhau (rối loạn lưỡng cực, tâm thần phân liệt) hoặc các bệnh thoái hóa thần kinh.
Ví dụ, việc phát hiện lượng sắt dư thừa trong não sẽ giúp chẩn đoán bệnh Parkinson trước nhiều năm. Ngày nay, vấn đề chẩn đoán căn bệnh này đã rất muộn.
Việc các nhà khoa học có thể phát hiện các quá trình diễn ra trong não ở giai đoạn sớm hơn có thể giúp chúng ta hiểu rõ về căn bệnh này, hoặc thậm chí cho phép nghiên cứu, phát triển các phương pháp điều trị mới.

